
건강한 치아를 유지하기 위해선 올바른 치아 관리가 필수입니다. 관리는 어릴 때부터 꾸준히 이루어져야 합니다.
그리고, 전 연령이 같은 방법으로 치아 관리를 해서는 안 됩니다. 따라서, 연령별 치아관리법에 대해 알아보도록 하겠습니다.
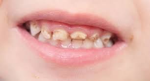
치열이 형성되는 유아, 아동기
유아기와 아동기(0세~만 6세)는 처음 치열이 형성되며 유치에서 영구치로의 교환이 일어나는 시기로,
보통 만 3세까지는 20개의 유치가 모두 구강 내로 나오게 되며, 만 6세 경이되면 유치 어금니의 안쪽부터 영구치가 나기 시작하면서 교환이 시작됩니다.

유치가 모두 생성되는 만 3세에 유의해야 할 치과 질환에는 ‘우유병 우식증’ 일명, ‘우유병 충치’입니다.
우유병을 입에 물고 잠드는 습관이 있을 때 모유에서 이유식으로 전환이 늦는 아이의 경우 우유나 모유가 입술과 이 사이에 장시간 머무르게 되며 이로 인해 충치가 발생하게 됩니다.
따라서, 돌이 지나면 밤에 우유를 물려 재우는 습관을 없애는 것이 좋으며 부득이한 경우, 우유 대신 보리차 등을 이용하는 것이 좋습니다.
생후 6개월부터 아이의 이를 정기적으로 닦아 줄 수 있도록 하며 유치 때부터 양치질을 습관화할 수 있도록 해야 합니다.
입안의 가장 큰 변화가 있는 소아기
소아기(만 7세~12세)는 유치와 영구치가 모두 교환되는 시기로 치아 구조에 가장 큰 변화가 생기기 때문에 집중적인 관리가 필요합니다.
특히, 초등학교 1~2학년 때, 제1대 구치(큰 어금니) 제1대 구치(큰 어금니)와 전치(앞니)들이 나오기 시작하면서 영구치열의 앞과 뒤를 결정하기 때문에 그 역할과 위치의 중요성이 매우 큽니다.
이 시기는 치아우식증의 발생 위험이 높기 때문에 제1대 구치의 경우 치아 홈 메우기 진료를 받아 치아우식증을 예방하는 것이 좋습니다.
따라서, 3~6개월에 한 번씩은 정기적으로 치과를 방문하는 것이 필요합니다.

또, 아이들의 안면골 성장이 활발한 시기이므로 주걱턱 등 안면 비대칭의 발생을 잘 관찰하도록 해야 합니다.
안면골의 성장은 유전적인 요인이 많이 작용하므로, 부모 중에 주걱턱 등 안면 비대칭이 있는 경우 자녀도 비슷한 형태를 보이는지 확인해 보는 것이 좋습니다.
치아가 가장 건강한 청소년기
청소년기(만 13세~20세)는 치아가 가장 건강한 시기라고 할 수 있습니다. 만 13세가 되면 유치가 모두 빠지고 입속에는 영구치만 존재하게 됩니다.
충치는 거의 없고 잇몸 질환이 발생하기 이전으로, 이때 중요한 관리는 바로 부정교합 관리로 치아가 완전히 자리 잡기 전 교정을 시작하면 보다 쉽게 치료를 마칠 수 있습니다.

건강할수록 소홀해지기 마련인 치아 건강. 하지만 늘 충치가 발생하지 않게 주의해야 하며 치약과 칫솔을 휴대하여 학교에서 점심식사 후 또는 간식 후 이를 닦을 수 있어야 합니다.
18세를 전후하여 사랑니가 날 수 있으므로, 16세쯤 미리 방사선 사진으로 확인해 두는 것도 필요합니다.
어떤 성분의 치약이 좋을까
아침, 점심, 저녁, 그리고 잠들기 전, 하루 4번 혹은 그 이상 내 입을 상쾌하게 만들어주는 치약은 일상 중 가장 많이 쓰는 제품이지만 치약에 대해 정확히 알고 있는 사람은 많지 않습니다.
치약의 종류만 해도 수십 가지에 달해 자신에게 필요한 치약을 판단하여 사용하기란 쉽지 않은 것이 사실입니다.
치약의 주요 성분에는 어떤 것이 있으며 성분별로 효능은 어떻게 다른 것일까?
개인마다 구강 상태와 음식을 섭취하는 경향이 다르므로, 자신에게 맞는 치약을 사용해야 구강 건강을 지킬 수 있습니다.
치약은 약이라고 표현하지만 이를 닦을 때 사용하는 세제로 액상, 분말, 크림형, 고형 등 그 형태도 가지각색입니다.
여기에는 치아 표면에 붙은 더러운 찌꺼기를 제거하고 치아를 빛나게 하는 연마제, 거품이 나게 하는 발포제, 적당한 습기를 가지게 하는 습윤제, 치약의 모양을 유지하는 결합제, 향긋한 냄새와 맛을 느끼게 해주는 착향료 등과 함께 치약의 종류에 따라 약효 성분이 포함되어 있습니다.
치아가 약한 사람의 경우 연마제가 많이 함유된 치약을 사용하면 치아가 시리거나 마모될 수 있으므로 피하는 것이 좋습니다.
치태가 잘 끼는 사람이나 담배를 많이 피우는 사람은 마모도가 강한 치약을 선택하고 구강 위생 상태가 좋은 사람, 치경부 마모증이 있는 사람, 잇몸병이 심한 사람은 마모도가 약한 치약을 선택하는 것이 좋습니다.
댓글